Offro una gamma completa di servizi odontoiatrici per tutta la famiglia, dall'estetica dentale all'ortodonzia pediatrica.
Dentista con particolare esperienza in ortodonzia, iscritta all'ordine dei Medici e Odontoiatri di Roma n. 6839, Provider abilitato Invis.
Sono la Dott.ssa Roseli, dentista italo-brasiliana con particolare esperienza in ortodonzia. Unisco competenza ed empatia per creare un'esperienza positiva e rassicurante per i miei pazienti.
Con una solida formazione e un Master in Ortodonzia conseguito presso l'Università Cattolica del Sacro Cuore di Roma, eseguo trattamenti ortodontici e mi dedico con cura all'odontoiatria generale.
Credo che la fiducia e il benessere del paziente vengano prima di tutto. Per questo, metto a disposizione un ambiente accogliente, tecnologie avanzate e piani di trattamento chiari e su misura.
Cure dentali per bambini con approccio giocoso e rassicurante
Assistenza dentale urgente. Se sei un turista ed hai un imprevisto dentale durante il tuo soggiorno a Roma ti offro un servizio dedicato, garantendo un intervento rapido e professionale.
Parlo portoghese! Affidati a me per risolvere la tua urgenza e tornare a goderti Roma!
Lorem Ipsum dolor sit amet
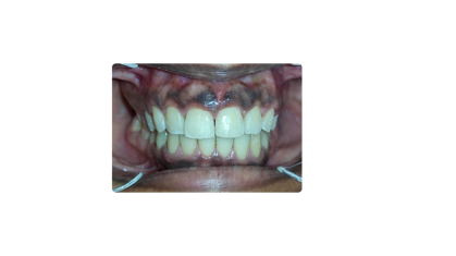
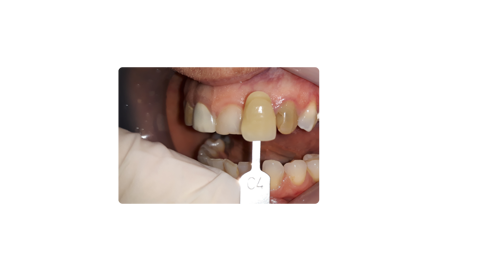
Trasforma il tuo sorriso con i nostri trattamenti estetici avanzati. Dalle faccette in composito alle corone, dalle faccette Lumineers DenMat Italia allo sbiancamento professionale, offriamo soluzioni personalizzate per il tuo sorriso ideale.
Sbiancamento professionale per un sorriso più luminoso
Correzione estetica naturale e durevole
Soluzione minimamente invasiva per un sorriso perfetto
Protezione e estetica per denti compromessi


Benvenuto! Sono la Dott.ssa Roseli, una dentista che crede nella competenza medica unita all'empatia e al calore umano verso ogni paziente.
"La tua dentista di fiducia che ti fa sorridere anche prima del trattamento!"

Contattami su WhatsApp per prenotare una visita o per urgenze odontoiatriche. Sono qui per te!
Dott.ssa Roseli Dall'Armellina iscrizione
OMCEO Roma n. 6839 - P. IVA 14074681009


Disegnato da Roseli Dall'Armellina Copyright© 2026 Tutti i diritti riservati

